Dünya tıp literatüründe bir ilk yaşandı! Sütçü İmam Üniversite Hastanesi'nde kanser sanılan hasta, Covid'li çıktı
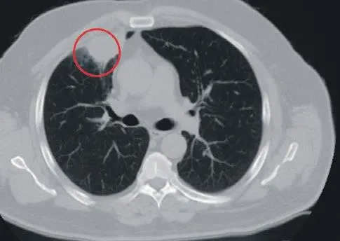
Kahramanmaraş Sütçü İmam Üniversitesi'ne göğüs ağrısı şikayetiyle gelen N.T.'ye tomografi çekildi. Sağ akciğerinde 4 santimetre çapında tümör tespit edildi. Kanser olabileceği şüphesiyle yapılan ileri tetkikler sonrası N. T.'ye akciğer kanseri teşhisi kondu ve acil ameliyat kararı verildi. Ameliyat öncesi hastanın Covid-19 testi pozitif çıkınca operasyon ertelendi. Koronavirüs tedavisine başlanan hastanın son testi negatif çıkınca ameliyat hazırlıklarına girişildi.
Kahramanmaraş Sütçü İmam Üniversitesi'ne göğüs ağrısı şikayetiyle gelen N.T.'ye tomografi çekildi. Sağ akciğerinde 4 santimetre çapında tümör tespit edildi. Kanser olabileceği şüphesiyle yapılan ileri tetkikler sonrası N. T.'ye akciğer kanseri teşhisi kondu ve acil ameliyat kararı verildi.

Ameliyat öncesi hastanın Covid-19 testi pozitif çıkınca operasyon ertelendi. Koronavirüs tedavisine başlanan hastanın son testi negatif çıkınca ameliyat hazırlıklarına girişildi.

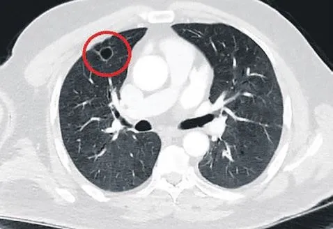
14 GÜNDE YOK OLDU
Dr. Fatoş Kozanlı, tedavi sonrası tomografisi çekilen N.T.'nin akciğerindeki tümörün yok olduğunu görünce adeta şok geçirdi. Kozanlı, "Ameliyatı 14 gün erteledik ve hastamıza Coronavirüs tedavisi uygulandı.

Son PCR testi negatif çıktı. Yeni bir tomografi çektik. Tümörün tamamen ortadan kalktığını gördük. Sonuç bilgilerinden başlangıca gittiğimizde, bu bir akciğer kanseri olsaydı, ortadan kalkması mümkün değildi" dedi.