Takvim Haber - Son Dakika Haberler, Güncel Gazete Haberleri
SON DAKİKA
Asgari ücrette ilk komisyon toplantısı başladı! Zam için hangi formüller masada? MHP lideri Devlet Bahçeli DEM Parti İmralı Heyeti'ni kapıda karşıladı: Ana gündem Terörsüz Türkiye'de rapor safhası Aşkabat'ta kritik zirve: Başkan Erdoğan Vladimir Putin ile görüştü CANLI | Başkan Erdoğan'dan Türkmenistan çıkarması! Temaslarına başladı
PODCAST CANLI YAYIN
Geri
  • SON DAKİKA
  • GÜNCEL
  • EKONOMİ
  • SPOR
  • MAGAZİN
  • DÜNYA
  • YAŞAM
  • YAZARLAR
  • RESMİ İLANLAR
  • Takvim Tv

TENYA HABERLERİ

TENYA ile ilgili en güncel gelişmelere, haber başlıklarına ve detaylı bilgilere bu sayfadan ulaşabilirsiniz. İlginizi çeken içeriklere hızlıca göz atabilir ve aradığınız bilgileri kolayca bulabilirsiniz. TENYA sayfası, sizin için özenle hazırlanmış tüm ilgili haberleri, yazıları ve kaynakları bir arada sunar. Gündemden, analizlerden veya ilgi çekici içeriklerden haberdar olmak için sayfamızı takipte kalın!
Hijyen yoksa hastalık var

Hijyen yoksa hastalık var

Bulantı, karın ağrısı, ishal, yorgunluk gibi şikayetlerle kendini belli ediyor. Gastroenteroloji Uzmanı Dr. Mustafa Yalçın, konuyla ilgili bilgilendirmelerde bulundu.
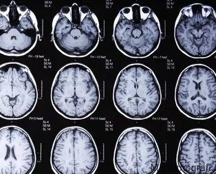
Çiğ et yedi tüm beynini tenyalar sardı

Çiğ et yedi tüm beynini tenyalar sardı

Çin'de bilinç kaybı nedeniyle hastaneye kaldırılan bir adamın, beyninde ve göğsünde yüzlerce tenya olduğu ortaya çıktı. Pişmemiş çiğ domuz eti yediği öğrenilen adamın doltoru yaptığı açıklamada, "Hastalar...
Kurbağa yedi beynine tenya bulaştı

Kurbağa yedi beynine tenya bulaştı

İngiltere'de 50 yaşındaki bir adamın beyninden 5 santimetre uzunluğunda tenya çıkarıldı. Hastanın Asya gezi sırasında kurbağa yediği ve parazitin bundan dolayı bulaştığı açıklandı
Takvim Haber - Son Dakika Haberler, Güncel Gazete Haberleri
AppStore GooglePlay Huawei
Üye Girişi Üye Ol
Daha Fazla Gör
Son Dakika Haberleri Güncel Ekonomi Haberleri Magazin Haberleri Spor Haberleri Emekli Haberleri Namaz Vakitleri Hava Durumu Tüm İller Sağlık
Astroloji Komik Videolar Memur Yerel Haberler Video Otomobil Eşkıya Dünyaya Hükümdar Olmaz Sen Anlat Karadeniz Bir Zamanlar Çukurova
Galeri E-Gazete Iphone Rss Arşiv Gizlilik Bildirimi Künye/İletişim Kariyer
Günün Takvim Gazetesi
egazete