Koronavirüs ciğerleri bu hale getiriyor! Röntgen filmleri dehşete düşürdü!
Çin’in Wuhan kentinde ortaya çıkan ve dünyayı adeta etkisi altına alan Koronavirüsten ölenlerin sayısı her geçen gün artıyor. Gelen son dakika haberine göre Kuzey Amerika Radyoloji Topluluğu, corona virüsü nedeniyle hayatını kaybeden 44 yaşındaki Çinli bir hastanın röntgen görüntülerini web sitesinde yayınladı. Görüntülerde Koronavirüsün hastaların ciğerlerinde bıraktığı hasar gözler önüne serildi.

Çin'in Wuhan ketinde ortaya çıkan ve her geçen gün dünyayı etkisi altına alan yeni tip ölümcül koronavirüs Türkiye'ye de sıçradı. Türkiye'de ilk koronavirüs vakasının görülmesinin ardından açıklama yapan Saplık Bakanı Fahrettin Koca, vatandaşları korunma yöntemleri konusunda uyarırken vakanın sağlık durumunun iyi olduğunu söyledi.

Dünyanın kabusu haline gelen koronavirüs bu zamana kadar 118 ülkeye yayıldı. Ölü sayısı ise 4 bin 638 oldu.
İtalya tüm ticari faaliyetleri askıya aldı. ABD ve Slovakya ise OHAL ilan etti. Tüm bu gelişmeler yaşanırken gelen son dakika haberi görenleri dehşete düşürdü.

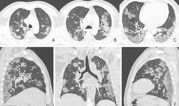
Kuzey Amerika Radyoloji Topluluğu, corona virüsü nedeniyle hayatını kaybeden 44 yaşındaki Çinli bir hastanın röntgen görüntülerini web sitesinde yayınladı.

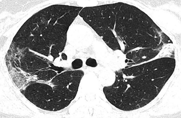
Röntgen görüntüleri ve bilgisayarlı tomografi taramaları, hastalığın kurbanlarının ciğerlerini nasıl tahrip ettiğini gözler önüne seriyor. Akciğerlerin alt köşelerindeki beyaz lekeler virüs varlığını gösteryor. Aynı lekeleri SARS ve MERS hastalıklarında da görmek mümkün.

Kuzey Amerika Radyoloji Derneği tarafından yayınlanan taramalar, A görüntüsünden F görüntüsüne ulaşana kadar hastanın akciğerlerindeki sıvının, zaman içinde açıkça nasıl daha belirgin hale geldiğini gösteriyor.
