Şişlik deyip geçmeyin! Kemik tümörü habercisi olabilir
Sinsice ilerleyen kemik tümörleri, her yaşta görülebiliyor. Doç. Dr. Seyit Ali Gümüştaş, tümörlerin geçmeyen ağrı, şişlik, topallama, kırık ve uyuşmayla belirti verdiğini söylüyor. Erken tanının önemine değiniyor...

Yaş ilerledikçe hastalıklar artıyor. Bu hastalıklara bağlı olarak kemik tümörü oluşma riski artış gösteriyor. Kemik tümörü çoğunlukla semptom göstermeden ilerlediğinden, ağrısı hissedilir hissedilmez doktora gidilmesi büyük önem arz ediyor. Hastanın şikayetlerinin dinlenmesi ve fizik muayenenin tanıda anahtar rol oynadığını vurgulayan Doç. Dr. Seyit Ali Gümüştaş, kemik tümörlerinin öne çıkan 5 belirtisini anlatıyor. Önemli uyarılar ve önerilerde bulunuyor:

GEÇMEYEN AĞRI: Kötü huylu tümörlerde ağrı kesicilere kısa süreli yanıt veren, geçmeyen hatta şiddeti giderek artan ağrı gelişir. Hafif olan ağrı zamanla şiddetlenirken, bu sorun istirahatte de devam eder. Geceleri uykudan uyandıran ağrı kötü huylu kemik tümörlerinin bir göstergesi olsa da nadiren iyi huylu tümörde de görülebilir.
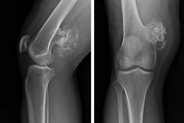
ŞİŞLİK:Hastanın özellikle diz, omuz ve kalça çevresinde düzensiz sınırlı, sert, hareketsiz ve hızlı büyüyen şişlik gelişir. Şişliğin ağrılı olması, kötü huylu olma açısından uyarıcı olmalı ve ağrı kesicilerle geçiştirilmeyip mutlaka en kısa zamanda hekime başvurulması gerekir.

TOPALLAMA:
Hem kemiğin kendisinden hem de başka bir organdan kaynaklanıp kemiğe sıçrayan kötü huylu tümörler kalça ve diz çevresini tuttuğu için hastalar topallama şikayetiyle hekime başvurabilir. Bu şikayetin nedeni tutulan kemikte yıkıma bağlı zayıflık ve ağrıdır.
KIRIK:Ağrı ve şişlik kadar sık görülmese de hem iyi hem de kötü huylu kemik tümörü kendiliğinden kemikte kırığa yol açabilir. Her ikisi de yerleştiği kemikte yıkıma neden olabilir.
UYUŞMA:Omurga tümörlerinde tümörün yerleştiği bölgeye göre hasta kol ya da bacaklarda uyuşma ve güçsüzlük ile hekime başvurabilir, kuyruk sokumunun tümöründe şikayet kabızlık olabilir.

TEKRARINI ÖNLER
Tümörde ilk tercih edilen tedavi, cerrahi müdahaledir. Cerrahi tedavi ile, ilgili kemik dokusunu koruyarak, tümörün tamamının alınması amaçlanır. Tümörün çıkarılamadığı ya da kanserin tekrar etmesini engellemek amacıyla kemoterapi ve radyoterapiden de yararlanılır.
